Insomnio. Remedios naturales para dormir bien
El insomnio es uno de los trastornos del sueño más comunes. Se estima que de un 10 a un 15% de la población adulta...
Pruebas para determinar una alergia
En el caso de que no se sepa si se padece alguna alergia en concreto, o bien cada cierto tiempo, es recomendable visitar a...
La Guanábana y la Cura del Cáncer
El Mundo al Instante publica este artículo traducido por el periodista colombiano Orlando López Garcia, advirtiendo que su contenido es responsabilidad exclusiva ...
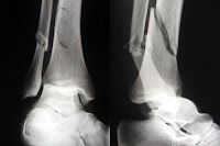
Tipos de Fracturas
Una fractura es la pérdida de continuidad normal de la sustancia ósea. La fractura es una discontinuidad en los huesos, a consecuencia de golpes,...
Eliminadores de tensión inmediata
Corta la cafeína ya que puede hacerte sentir agitado. En cambio, toma tés herbales como el de camomila, tilo, menta o peperina, para suavizar...
El Placer de la Verdura
Siempre he sido un animal carnívoro, pero en cuanto a comida se refiere, estoy abierto a todo tipo de recomendaciones y de nuevas...
Tips para protegerte de la gripe
Protégete contra la propagación de la gripe y otros gérmenes y virus: * Las enfermedades como la gripe y el resfriado común se...
¿Por qué siguen fumando?
Empezaré diciendo que ni fumo ni he fumado nunca. No soy, pues, sospechoso de “ex-fumador talibán”… aunque mi postura respecto al tabaco es bastante...
Las Enfermedades Más Extrañas y Curiosas
Síndrome del acento extranjero: Supón que te levantas por la mañana y empiezas a hablar con acento francés, chino o italiano. Suena divertido pero...
El ordenador y el té verde
El té verde es una bebida recomendable para quienes pasan muchas horas ante la pantalla del ordenador, según los médicos participantes de un congreso...
Las Fobias más raras
Según la RAE una fobia es: 1. Una aversión obsesiva a alguien o a algo. 2. Un temor irracional compulsivo. Estas mismas definiciones dejan...
Tips para los que usan anteojos.
Mis anteojos "Ideales" según la web.¿El médico te receto lentes/anteojos? ¿Sabes que lo necesitas pero aún no te has decidido por alguno? ¿Te gustaria...











